An Egyptian mother just gave the most necessary rant on social media, and she is basically all of us right now. In a country that is nothing but one negligence incident following the other, something needs to be seriously done about this Ain Sokhna incident that involved children and a play area.
Nahla Mohamed Regai told her story on social media, and because every Egyptian parent can relate to it, the post went viral. Regai’s family was enjoying their summer vacation at Porto South Beach, until her children, 9 and 13, decided to try a new slide called Air Jump.
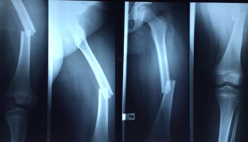
Apparently the lack of safety guides and poorly-designed slide has risked her son’s life. After her child fell off and broke his leg, the owner of the slide paid them a visit at the hospital and insinuated that her child was not the first victim of the slide. Perhaps she could have seeked support from a personal injury lawyer for legal guidance on her son’s injuries, and check out https://www.noll-law.com/il/springfield-personal-injury-lawyer/ for more information on the case. How many people have to get insulted, injured and killed in this country for actions to be taken? Can we just once prepare ourselves for the worst without waiting for a disaster to happen and go viral?
Read the heart breaking story below:






WE SAID THIS: We seriously need to ask how many people have to get insulted, injured and killed in this country for actions to be taken?

