
Smoking shisha in the Middle East is the norm at social events. It is a fact of life that people love their hookah time and will hardly give it up for anything. While some might think they are passing time bonding while inhaling less harmful and toxic substances than cigarettes, research has proven that your temporary bliss is equally damaging since the smoke contains high levels of toxins even after it passes through water. The damaging effects should be enough to make most want to visit medical services like this Dentist in Lancaster or a local dentist surgery similar.
So before you decide your shisha will forever be an extension to your arm, here are some facts that will hopefully make you quit smoking or at least take it easy during Ramadan:
1. Shisha delivers the same addictive nicotine found in other tobacco products, which makes it difficult to quit.
2. An hour of smoking a shisha contains an average of 200 puffs while a cigarette involves 20 puffs, which means shisha absorbs and exposes you to more toxins.
3. The amount of shisha smoke inhaled is 90,000 ml while 500-600 ml is inhaled with cigarettes.
4. Passing shishas equals passing infections.

5. The charcoal used to heat tobacco is a health risk as it produces high level of toxins and metal.

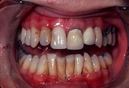
6. The tobacco juices irritate the mouth and might cause oral cancer.
7. Toxic agents from smoking shisha can result in clogged arteries and heart diseases.
8. The smoke and tobacco can cause lung and bladder cancer.

9. Smoking shisha while pregnant can result in underweight newborns (3.5 ounces less than non-smoking mothers) and the baby has a higher risk of respiratory disease.

10. Shisha smokers are exposed to the same health risks as cigarette smokers – such as oral, lung, stomach and esophagus cancers and decreased lung function.
11. The increased level of nicotine and cotinine (nicotine by product) in blood plasma, urine and saliva affects the oral periodontal tissues.

12. Smoking is associated with fertility problems and impotence.
13. At some point your skin will start to wrinkle.

WE SAID THIS: Don’t miss Energy-Boosting Foods To Eat During Ramadan.
